facebook  twitter  youtube  google  pinterest  blog  google 

Before & Afters

 

 

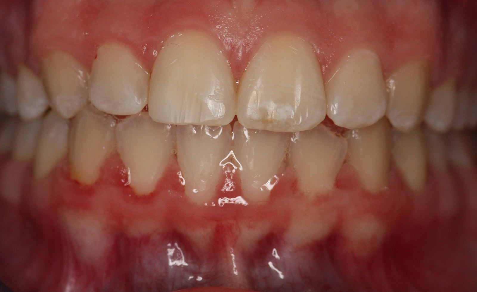
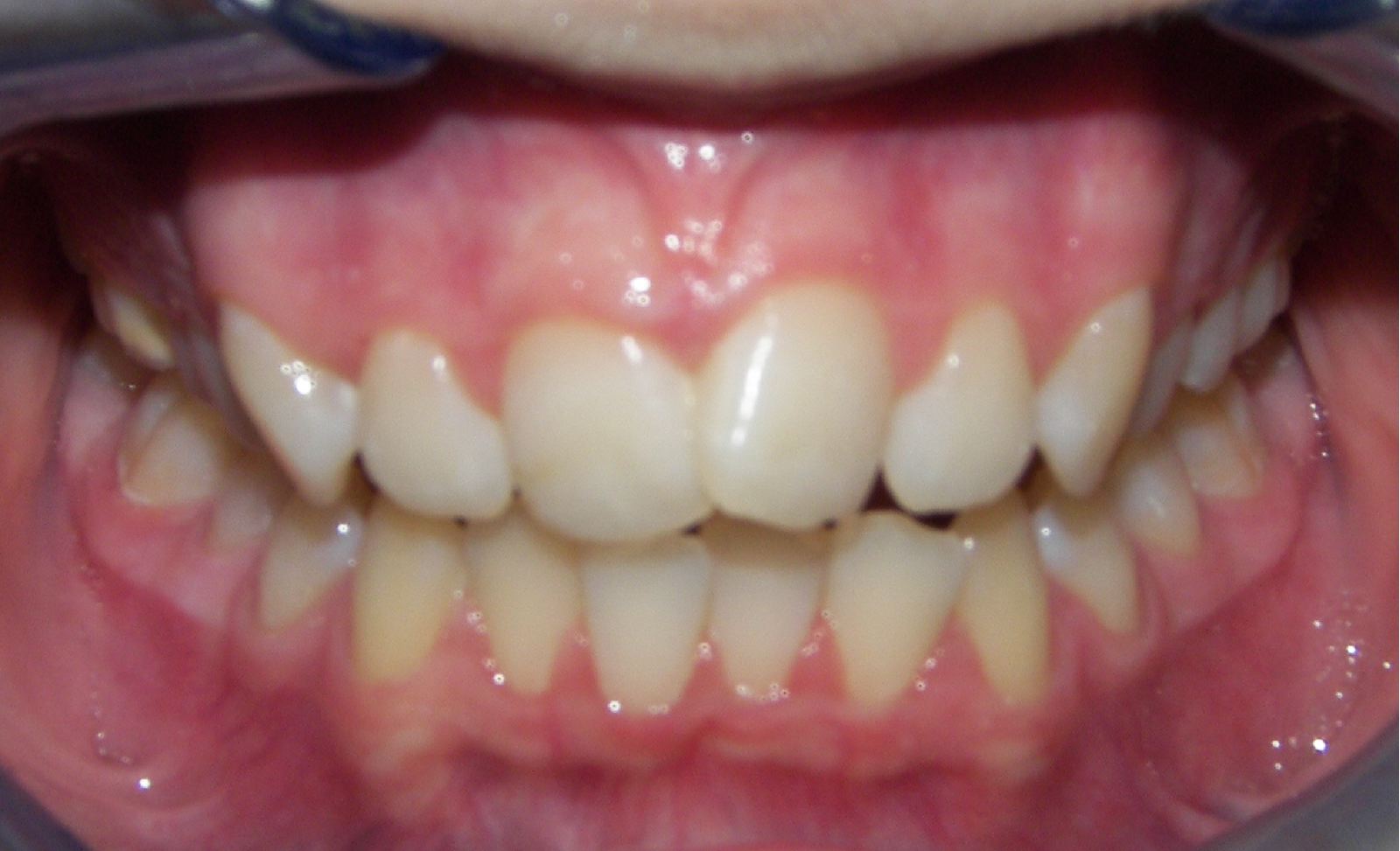
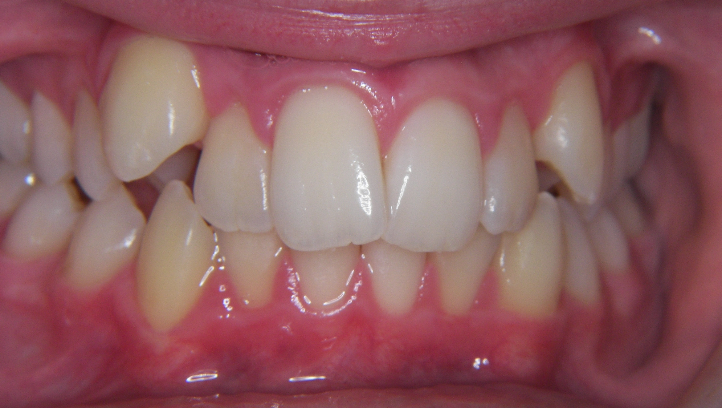
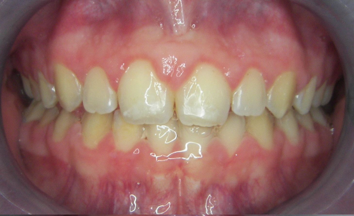
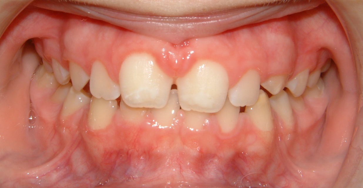
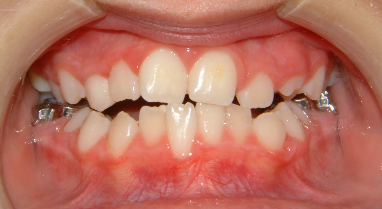
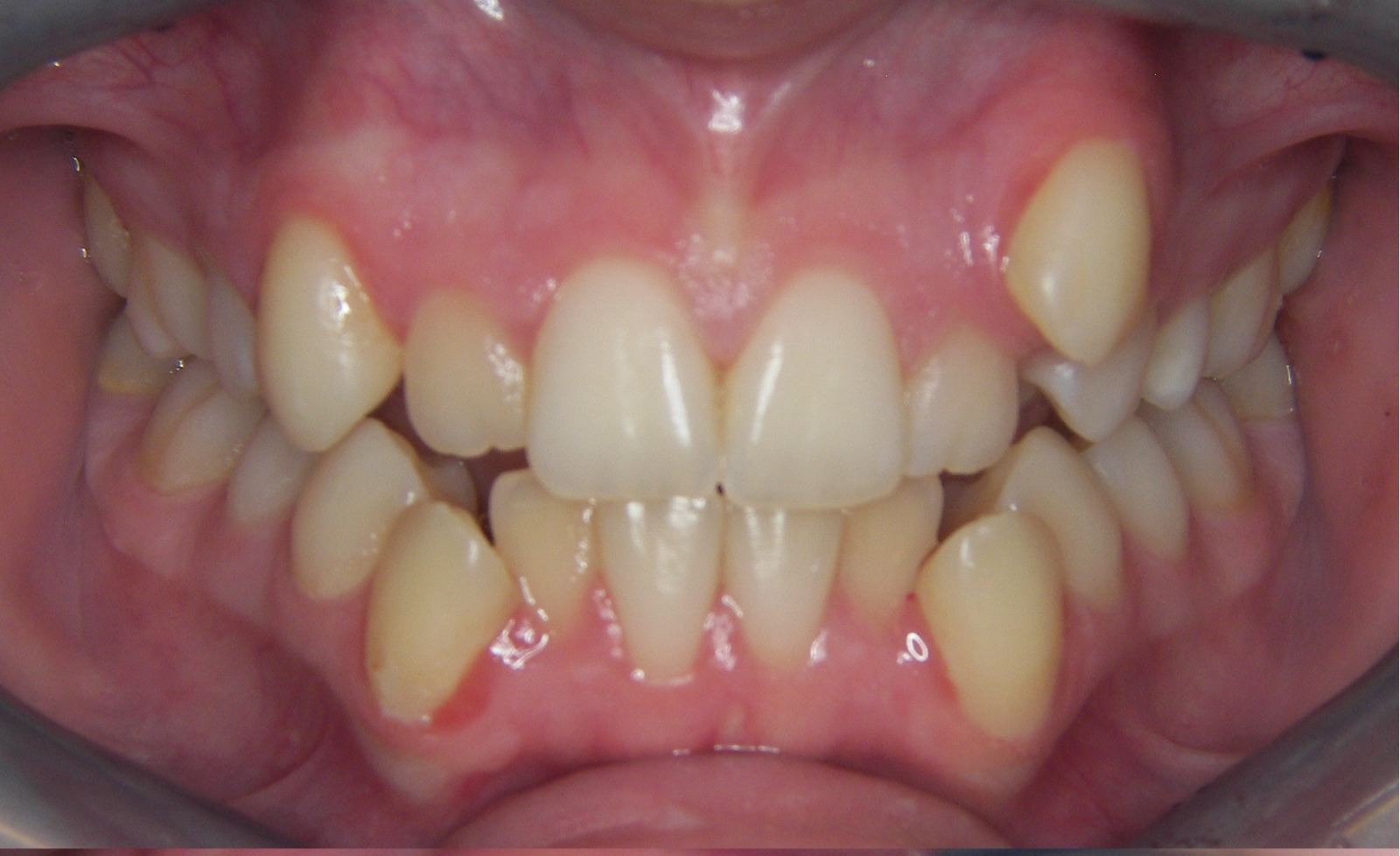
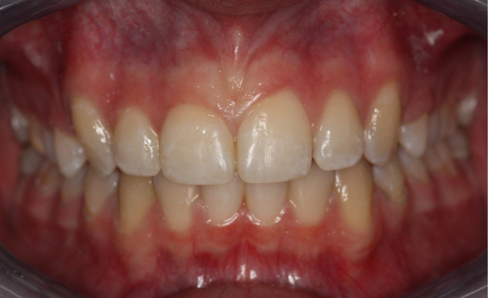
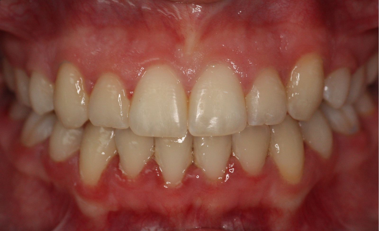
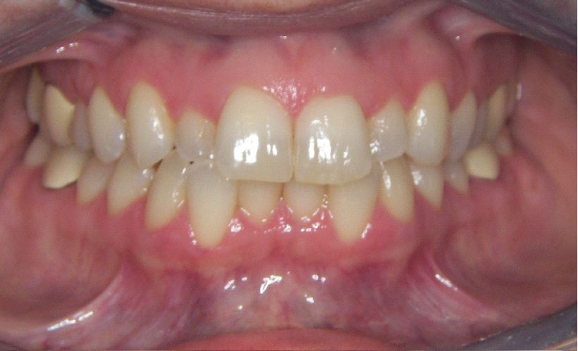
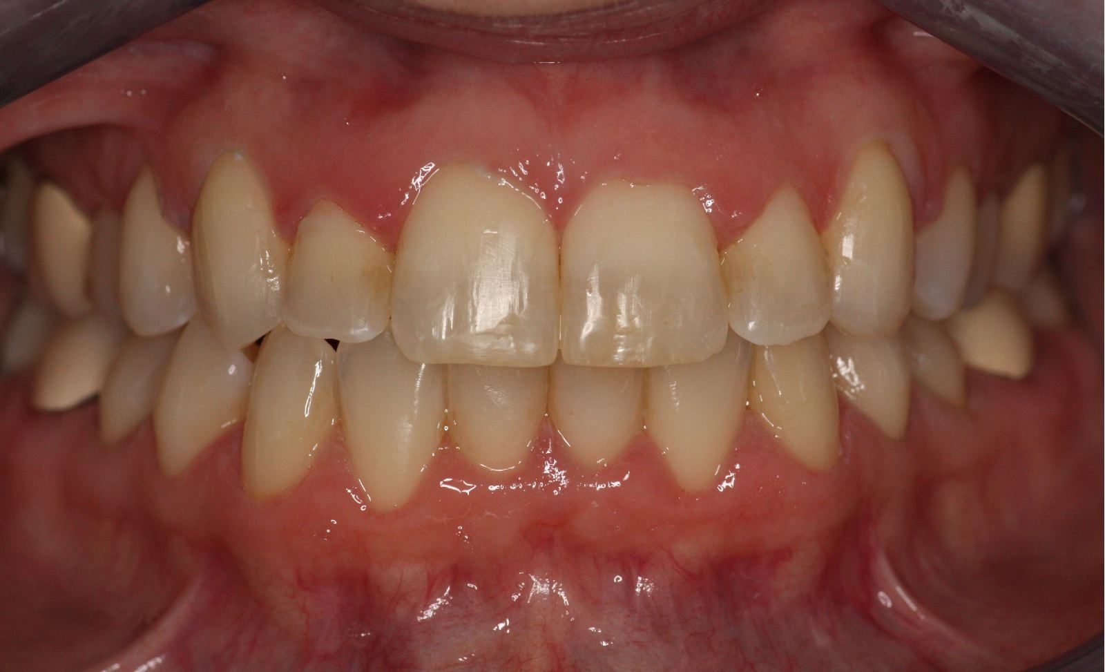
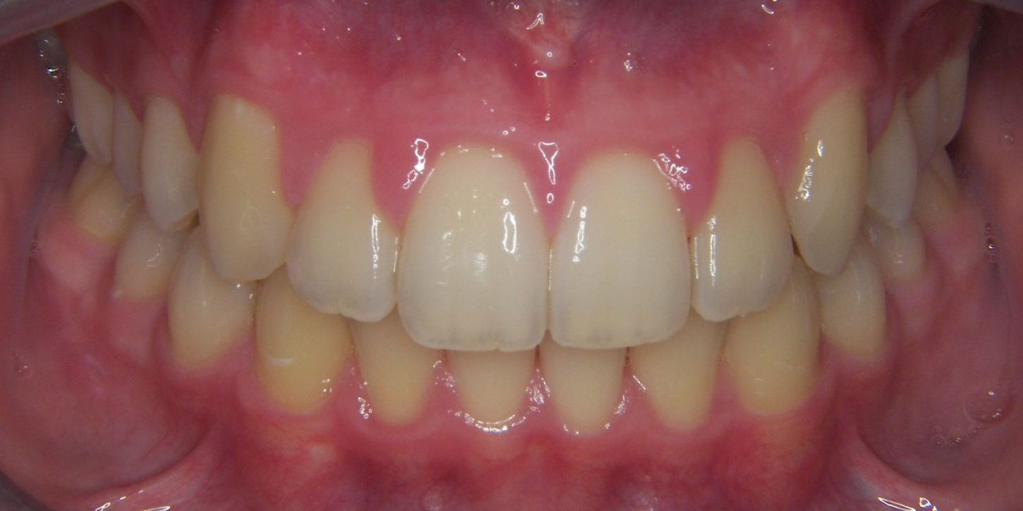
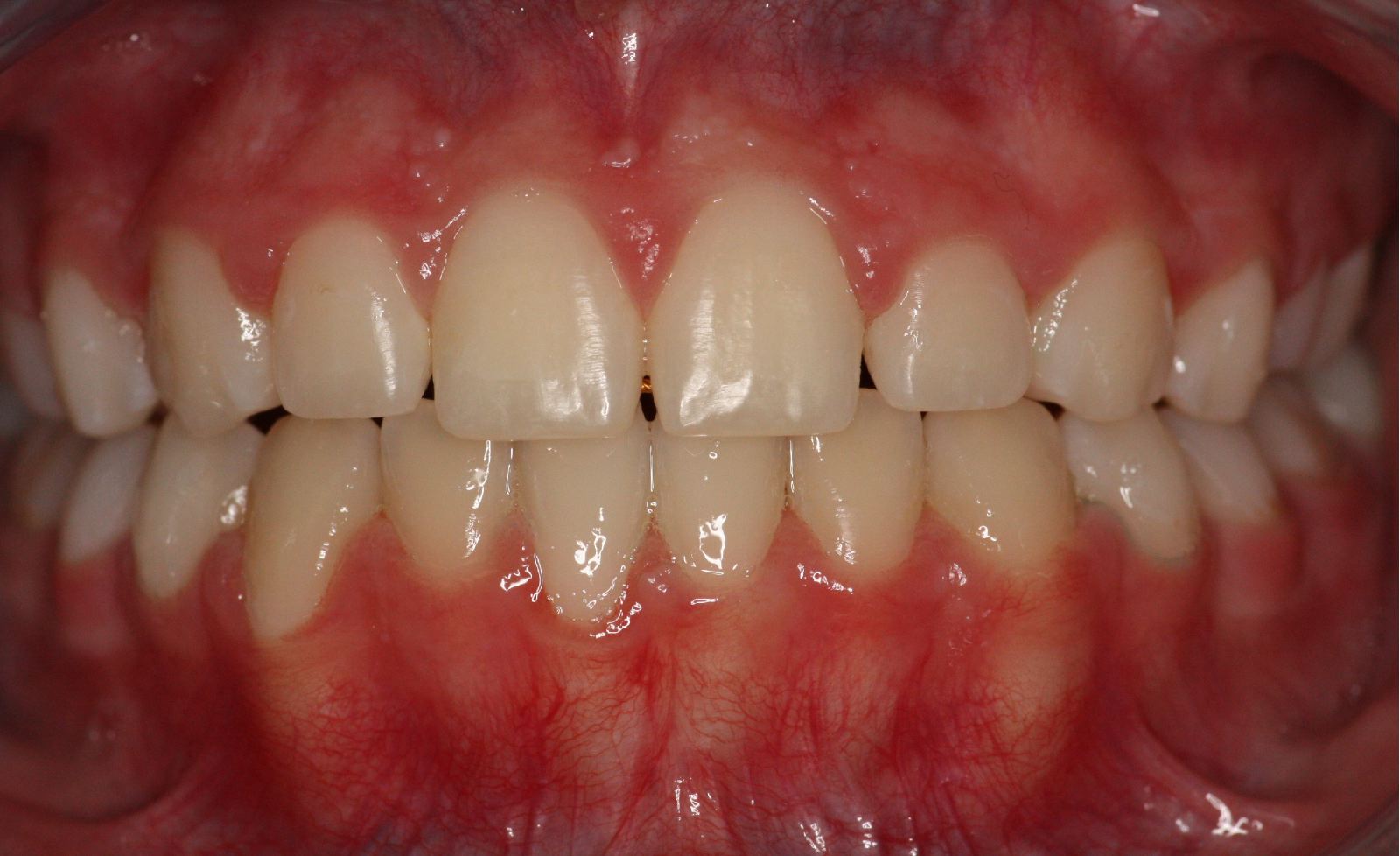
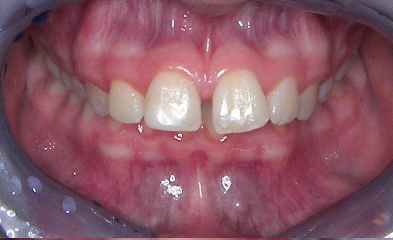
Smiles are the greatest asset of your personality. Showing off your new smile is a great way to improve your self-esteem. Our team is proud to share the hard work and determination required to make your child’s smile special. Our gratification comes from the smiling results of our patients.  Check out a few "before" and "after" photos below.

   

          Before                     After